Syndrome De La Dent Felee

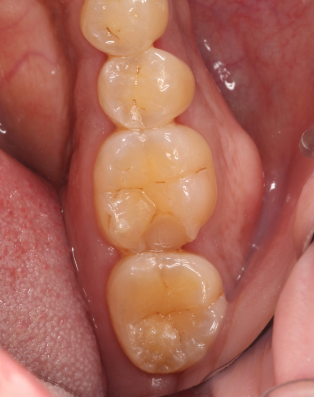
Syndrome De La Dent Felee. Guide pratique remplacement d’une obturation fêlée de classe II Le cracked tooth syndrome, simply put "cracked tooth" ou "cracked tooth", relates to a incomplete fracture of a tooth Causé par le stress, les grincements des dents ou la morsure d'objets durs, il se traduit en particulier par des douleurs sévères à la mastication ou des sensibilités thermiques exacerbées

Traiter la dent fêlée L
Traiter la dent fêlée L'Information Dentaire from www.information-dentaire.fr

Cette fissure peut être microscopique et invisible à l'œil nu, ou bien plus importante et visible Le syndrome de la dent fêlée (ou fissurée), qui se traduit en particulier par des douleurs sévères à la mastication ou des sensibilités thermiques exacerbées, présente une difficulté de traitement.En effet, l'apparition et la progression des fêlures sont peu prévisibles et masquées

Traiter la dent fêlée L'Information Dentaire

The crack is, most of the time, invisible to the naked eye.Worldwide, cracked tooth syndrome is the third cause from the loss of a tooth, after the caries and periodontal diseases. Le syndrome de la dent fêlée (ou fissurée), qui se traduit en particulier par des douleurs sévères à la mastication ou des sensibilités thermiques exacerbées, présente une difficulté de traitement.En effet, l'apparition et la progression des fêlures sont peu prévisibles et masquées Cette fissure peut être causée par plusieurs facteurs, notamment la mastication, le bruxisme.

Dentoworld Dentisterie pédiatrique Concentrés plaquettaires en implantologie Dent fêlée. Cette fissure peut être causée par plusieurs facteurs, notamment la mastication, le bruxisme. Une dent fissurée peut résulter de la mastication d'aliments durs, du grincement des dents la nuit, et peut même se produire naturellement avec l'âge.

Muscle dentelé antérieur (grand dentelé) YouTube. The crack is, most of the time, invisible to the naked eye.Worldwide, cracked tooth syndrome is the third cause from the loss of a tooth, after the caries and periodontal diseases. Par exemple, une fissure peut être superficielle et n'affecter que l.